
(Click in the image to enlarge it)
by Dr.
AIMSIB , 5 Oct 2020
Introduction
COVID-19 appeared in Europe and the Americas in 2020, following the emergence of a new virus from China in 2019. This new virus belongs to the well-known family of coronaviruses that has already produced two particularly severe epidemics in 2003 and 2012. This new virus is called SARS-CoV-2, the third coronavirus responsible for severe respiratory distress syndrome. The severity of this syndrome is mainly characterized by hypoxemia, a lack of oxygen in the blood. We have found that this severe pulmonary impairment is seen in a relatively small number of patients infected with SARS-CoV-2, most of whom are asymptomatic or have only an influenza-like illness or even a common cold.
The first statistics on the profile of COVID-19 cases are available for Switzerland.

(Click in the image to enlarge it)
For the most severely affected patients, mainly elderly people and/or people weakened by one or more chronic diseases (heart, respiratory and kidney failure, diabetes, high blood pressure, obesity, etc.), mortality would be slightly higher than for seasonal influenza, the precise figures still need to be evaluated.
These figures are still controversial today, with some scientists and doctors arguing, with supporting evidence, that mortality has been overestimated by official health centres:
https://www.mondialisation.ca/coronavirus-et-nombres-de-deces-douteux/5645433
https://powerandharmony.com/covid19-terrorisme-mediatique-manipulation-chiffres/
https://powerandharmony.com/covid19-les-chiffres-ne-mentent-pas/
It seemed important to me to clarify several points in relation to COVID-19, its clinical and radiological diagnosis and the main points of its management in intensive care. I will end on the gap between the presentation of the disease in the acute phase (March-April 2020) and its presentation today.
COVID-19 for a resuscitator: ARDS severe
One of the serious pathologies most frequently encountered in resuscitation affects the respiratory function, namely the oxygenation of the blood (O2) and the elimination of carbon dioxide (CO2), a product of metabolism, through damage to the respiratory organ, the lungs. This is ARDS for Acute Respiratory Distress Syndrome.
Described in 1967, it still accounts for 10% of intensive care admissions with a mortality rate of 40-50%. (Ashbaugh DG, Bigelow DB, Petty TL, Levine BE, “Acute respiratory distress in adults“, The Lancet1967 ;2 :319-32 https://www.ncbi.nlm.nih.gov/pmc/articles/PMC5537110/ ). ARDS mainly causes an impairment of blood oxygenation.
Oxygenation – O2
Normally, we take oxygen (O2) from the ambient air when we breathe in, and remove carbon dioxide (CO2) when we breathe out. This activity is fundamental. We breathe about 20,000x/day, 550 million times over a 75-year lifetime. Ambient air, at a normal altitude corresponding to sea level, is 21% oxygen charged, and this is more than enough. The data measured in the blood (arterial if possible) are PaO2 (partial pressure of arterial blood in O2) and SaO2 (saturation of arterial blood hemoglobin in O2) reflected by SpO2 (finger pulse O2 saturation) :

(Click in the image to enlarge it)
In intensive care, we monitor SpO2 (by a sensor at the tip of the finger as in figure 1, sometimes at the ear).
In severe cases, we combine this with regular monitoring of arterial gasometry (taking blood through a catheter placed in an artery) which gives, among other things, PaO2, SaO2 and the level of haemoglobin, the protein that carries oxygen in the blood.
The important parameters measured are :
- The hemoglobin level (oxygen carrier in the blood)…
- The amount of oxygen transported by the haemoglobin reflected by SaO2, itself approximated by the SpO2 measured continuously.
- PaO2 or partial pressure of oxygen in arterial blood in mm Hg (mercury)

(Click in the image to enlarge it)
This graph (Figure 2) illustrates the relationship between Sa02 (hemoglobin oxygen saturation in arterial blood in %) and PaO2 (in mmHg). It is not linear but represented by a sigmoid curve. This means that a decrease in SaO2 (reflected by SpO2) of 10% (100 to 90%) represents a decrease in PaO2 of 40 mmHg (100 to 60 mmHg)!
Oxygen is vital. Some organs are absolutely dependent on it, and oxygen deprivation for a few minutes can have serious consequences, especially for the brain or the heart. A drop in oxygen in the blood is called hypoxemia, this is THE problem with ARDS.
That’s the initial vital problem with COVID-19: Severe hypoxemia.
The initial presentation of COVID-19 is confused with the presentation of ARDS, representing on average (national variants) 10% of intensive care admissions and killing approximately one in two affected patients. The worsening of the prognosis (chances of survival) by the existence of co-morbidities (obesity, chronic pathology, age>60 years) was already well known in all ARDS, since its description in 1967.
Treatment of ARDS
In addition to the treatment of the cause(s), the treatment of hypoxemia was already well codified and has not changed much in 30 years, the concentration of oxygen in the air breathed in by the patient must be increased by means of non-invasive ventilation (by mask or nasal cannula), or, for more severe cases, invasive ventilation with intubation of the trachea and connection of the patient to a machine (respirator). Pressure (positive) will also be applied in the pulmonary alveoli, the small open bags where gas exchanges (of O2 and CO2) take place. In this way, the bags remain open and gas exchanges can take place continuously.
The doctor can increase the concentration of oxygen in the inhaled air up to 100%: pure oxygen, i.e. 5x more than in the ambient air (21% at the sea level).
Breathing pure oxygen is not ideal, but the immediate urgency is to raise PaO2 to the level of vital organs in pain and avoid death.
Another therapeutic approach used in ARDS is to put the intubated and sleeping patient on his or her stomach. This approach used in COVID-19 has been known for a long time and can be beneficial in any ARDS, regardless of the cause.
This practice is called prone decubitus.
Some people will respond better (in terms of oxygenation benefit) than others. To find out, try at least two sessions of 8 to 18 hours.
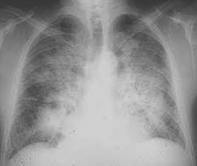
In ARDS, the underlying pathology of COVID-19, the affected body organ is the lung, and that’s what it looks like in imaging:

The pulmonary alveoli (sacs) are filled with air, which appears in black in the image.
Abnormal lung CT scan (ARDS)

WARNING, these images are not specific to a COVID-19! We find them in diffuse infiltrative pneumopathies (PID), including acute hypoxemic interstitial pneumopathies that can be found in intra-alveolar hemorrhages, drug-induced pneumopathies (amiodarone), toxic pneumopathies and system diseases as well as vasculitis. They are found in a group of pulmonary pathologies grouped under the generic term ARDS.
ARDS can be caused by a large number of causes, intra- or extra-pulmonary, infectious or non-infectious.
Intrapulmonary causes:
- Bacterial, viral pneumonia (influenza, respiratory syncitial virus or RSV, SARS)
- Chemical pneumopathy (inhalation of digestive fluid) or smoke inhalation
- Chest Trauma
Extra-pulmonary causes:
- Pancreatitis (generalized inflammation of the pancreas with necrosis)
- Extra-pulmonary infections with severe sepsis (infection) and/or septic shock
- Extensive burns
- Cardiogenic shock (heart failure of any origin)
- Etc.
So, as we can see, the frosted glass lesions described as typical of a COVID-19, are typical of ARDS, not of any particular cause.
They are found in particular in infectious pneumonia with so-called atypical germs, such as Mycoplasma Pneumoniae, Chlamydia Pneumoniae or Legionella Pneumophila, but also in non-infectious pneumopathies (PID or diffuse infiltrative pneumopathies). A differential diagnosis must always be made, especially in people with one or more severe comorbidities (diabetes, obesity, chronic renal, pulmonary or cardiac disease, etc.), which is the case for most people admitted to intensive care units during the COVID period.
The problem is to uphold a diagnosis of COVID without considering other possible causes, especially in the case of negative RT-PCR.
The symptomatic treatment of severe COVID-19 pneumonia is ARDS:
- Non-invasive oxygen therapy (mask, nasal cannula)
- Invasive oxygen therapy (tracheal intubation)
- Positive pressure in pulmonary alveoli (sacs)
- Alternate prone (on the belly) and supine (on the back) positions
To remember:
Severe COVID-19 pneumonia manifests as ARDS with severe hypoxemia. Another well-known viral pneumonia that can give ARDS is influenza. ARDS was characterized in 1967. In 50 years, its mortality remains high, 40 to 50%, i.e. 1 patient out of 2. Management is standardized, essentially symptomatic and targets hypoxemia (lack of oxygen in the blood).
COVID-19 for a resuscitator: not just ARDS
We discovered fairly quickly that this ARDS associated with COVID-19 pneumonia was accompanied by a particular complication: the tendency to thrombosis. The blood vessels, which bring blood and therefore oxygen to the body’s organs, allow the blood to flow freely. Sometimes a thrombus (clot-obstruction) forms and impedes the blood flow.

It can occur in a vein or an artery.
Its vital consequences are:
- Pulmonary embolism at the onset of venous thrombosis, aggravating the patient’s hypoxemia…
- Suffering of a vital organ (heart, brain, kidneys, liver…) at the start of an arterial thrombosis, leading to an organ infarction.
In intensive care, the tendency to thrombosis in the context of ARDS, (whatever its origin), was already known and explained by prolonged immobility, lack of active (voluntary) muscle movement, activation of inflammation and coagulation by a set of complex and interdependent mechanisms.
Anyone ventilated as in ARDS was already anticoagulated (thinning of the blood) as a preventive measure, without waiting for thrombosis to occur. However, this proved insufficient in ARDS for COVID-19 pneumonia. We therefore administered a higher dose (curative, not just prophylactic) of anticoagulant (derived from heparin). These problems were relayed by the medical team of IHU-Méditerranée-Infection in Marseille, as we can hear here, in this video, at 6’50”, from the mouth of hematology professor and coagulation specialist Laurence Camoin :
https://www.youtube.com/watch?v=WzvnHbTH0v8
Detection, in the acute phase of COVID-19 pneumonia, of elevated blood levels of lupus anticoagulants and antiphospholipid antibodies, found in diseases of an autoimmune nature, i.e. diseases where the immune system turns against its own body, such as in systemic lupus erythematosus or antiphospholipid syndrome.
According to Laurence Camoin, this was found in 60% of inpatients, and 25% of outpatients (non-hospitalized), with a strong increase in thrombotic risk (thrombosis with pulmonary and/or arterial embolism). Arterial thrombosis to the brain will cause an ischemic stroke, a complication also found in COVID post-pneumonia ARDS patients, at an abnormally high frequency. It is possible that one of the positive effects of hydroxychloroquine (Plaquenil°), notably found in patients treated at the IHU-Méditerranée de Marseille, is related to its beneficial action on these auto-antibodies.
COVID-19 for a Belgian resuscitator: my personal experience from March to May 2020
Like all hospitals in countries that have opted for total and strict containment under the orders of the World Health Organization (WHO), in March 2020, we stopped all our medical and surgical activities in order to receive and treat patients with COVID-19.
We treated a total of 40 patients, with an average age of 61.5 years. Youngest patient, 30 years old. Oldest patient, 83 years old. 13 females to 27 males, reflecting the worldwide distribution of COVID-19 by sex, with a predominance of males (see graph 1). The average length of stay was 20.8 days. Mortality = 40% (i.e. the well-known ARDS mortality – https://www.ncbi.nlm.nih.gov/pmc/articles/PMC5537110/). 37 patients were intubated and we found that the duration of artificial ventilation (using a ventilator) was significantly longer than in usual ARDS (ARDS): 17 days on average. 23 patients out of 37 intubated patients benefited from ventral decubitus (62%). The risk factors most often found were: obesity (BMI>30), diabetes, hypertension.

(Click in the image to enlarge it)
BMI = Body Mass Index = Weight divided by height2, example: Weight 100kg height 1.7 m => BMI = 100 / 1.72 = 34 = Severe obesity
The treatments used have been classical, mainly those used in all ARDS:
- Positive pressure ventilation
- Use of the intermittent prone position (on the belly)
- Antibiotherapy according to indications, as early as possible
- Anticoagulation at therapeutic (curative) doses
- Corticoids: rediscovering
Unlike hydroxychloroquine, corticosteroids have been popular without any media, political or medical counterattack in the treatment of severe COVID-19 pneumonia.
https://www.lalibre.be/planete/sante/covid-19-les-corticoides-un-traitement-qui-va-sauver-des-vies-5f5722a99978e2322f9c8330: The proven effect of corticosteroids on severe forms of Covid-19 is “a dramatic turning point”, and this treatment “will save lives” … Yes, except that the benefit of early corticosteroid therapy in ARDS of diffuse infiltrative lung disease was already well known. It’s not new. COVID-19 pneumopathy behaves like diffuse infiltrative pneumopathy and has the radiological aspect of it :
– Corticosteroid therapy is the first-line treatment for diffuse infiltrative lung disease. Efficacy depends on how early it is introduced. The administration of high doses of corticosteroids is recommended especially in acute interstitial lung disease and intra-alveolar hemorrhages. »
This passage is taken from page 11 of this 2014 PDF, “Hypoxemic Pneumopathies in Emergency Departments: Diagnosis and Management“, SFAR (Société Française d’Anesthésie-Réanimation), by Dr. M. Sebbane of Montpellier.
Today, they are effectively prescribed upon admission to the intensive care unit for the treatment of COVID-19.
COVID-19 for a resuscitator: controversial treatments
1- Hydroxychloroquine (HCQ or Plaquenil°)
We used it at the beginning (March 2020) in hospitalization and intensive care, to abandon it very quickly in the face of polemics and following a ban by the high health authorities. In any case, as it has been well demonstrated, the interest of hydroxychloroquine is to be introduced early, from the first day of symptoms, when the viral load is important and when the virus has not yet invaded the lungs!
It is therefore to be booked on an outpatient basis, under the supervision of general practitioners or primary care physicians (emergencies). Its administration in intensive care, or even in hospital, late, beyond 2 days from the onset of symptoms and/or in severe forms, has no validation, on the contrary (risk of side effects, especially cardiac).
Hydroxychloroquine has been used for more than 70 years in various pathologies (autoimmune diseases, lupus erythematosus, rheumatoid arthritis, malaria…), with a very favourable safety profile.

PubMed, HCQ and overdoses – (Click in the image to enlarge it)
Between 1960 and 2020, a PubMed search (medical archive site), specifying “hydroxychloroquine overdose”, returned “only” 18 cases of overdoses with corresponding articles. The doses greatly exceeded the recommended doses, even more so those recommended in the management of COVID-19 infection, i.e. 400 mg/day for 5 days. Despite these very excessive doses, in these 18 cases, only 1 death was reported and involved a massive overdose (12 g) in a 2.5 year old child.
The innocuousness (absence of danger) of hydroxychloroquine has been widely proven, particularly in this retrospective study of one of the pathologies treated for the longest time by hydroxychloroquine: rheumatoid arthritis.
In an article, Harvey Risch, MD, PhD, Professor of Epidemiology at the renowned Yale University (Yale School of Public Health), reported the results of 7 studies illustrating the safety of hydroxychloroquine use, especially for a short period of time and at recommended doses:
– “These seven studies include: 405 high-risk patients treated by Dr. Vladimir Zelenko, with zero deaths (and no cardiac arrhythmias); four studies totaling nearly 500 high-risk patients treated in nursing homes for the elderly (editor’s note: equivalent to our Ephad) and clinics across the U.S., with no deaths; a control arm trial of more than 700 high-risk patients in Brazil, with a significantly reduced risk of hospitalization and two deaths among 334 patients treated with hydroxychloroquine (and among 412 patients treated with HCQ, no cardiac arrhythmias); and another study of 398 matched patients in France, also with a significantly reduced risk of hospitalization (and among 1061 patients in Marseilles treated, no cardiac arrhythmias). For more information, see “http://www.francesoir.fr/opinions-tribunes/la-cle-pour-vaincre-la-covid-19-existe-deja-nous-devons-commencer-lutiliser
However, hydroxychloroquine has been banned in several countries for the treatment of COVID-19 infection. Why has it been banned?
The World, screenshot
The defence of the use of hydroxychloroquine in COVID-19 infection, associated with the absence of toxicity, is not exclusive to Professor Didier Raoult’s team at the IHU-Méditerranée-Infection in Marseille. On this graph, we can see, in green, all the countries that have allowed their doctors to prescribe hydroxychloroquine early to their patients with COVID-19 :

Use of HCQ – (Click in the image to enlarge it)
The studies in favour of the interest of hydroxychloroquine at the very early stage of COVID-19 infection are numerous and serious, and far from being limited to the criticized (and questionable) study by Professor Didier Raoult’s team: https://hcqtrial.com/ 79 studies including 46 peer reviews.

(Click in the image to enlarge it)
The following is a review of the literature on the use of hydroxychloroquine at different stages of COVID-19 infection, used alone or in combination with Azithromycin (AZT-antibiotic macrolide). The HCQ+AZT association is recommended by the team of Professor Didier Raoult and others. An American doctor, Vladimir Zelenko, also associates it with Zinc :
Protocol by Dr. V. Zelenko (United States, New York): https://internetprotocol.co/covid-19/2020/07/21/yale-harvard-professors-support-zelenkos-protocol/

Zelenko protocol – (Click in the image to enlarge it)
For five days. These studies confirm the value of hydroxychloroquine in the early treatment (as early as possible from the onset of symptoms) of COVID-19 infection, and show a synergistic effect of association with Azithromycin and Zinc. This was found in these three studies published in major journals: https://www.ejinme.com/article/S0953-6205(20)30335-6/fulltext

(Click in the image to enlarge it)
-« Out of 3,451 COVID-19 patients, 76.3% received HCQ. Death rates (per 1,000 person-days) for patients receiving or not HCQ were 8.9 and 15.7, respectively. After adjustment for propensity scores, we found 30% lower risk of death in patients receiving HCQ. »
And here: https://www.ijidonline.com/article/S1201-9712(20)30534-8/fulltext
(Click in the image to enlarge it)
– According to a protocol-based treatment algorithm, among hospitalized patients, use of hydroxychloroquine alone and in combination with azithromycin was associated with a significant reduction in-hospital mortality compared to not receiving hydroxychloroquine. »
And again here: https://www.journalajmah.com/index.php/AJMAH/article/view/30224/56706

(Click in the image to enlarge it)
The interest of hydroxychloroquine in viral infections due to SARS has been described in vitro since 2005: https://www.ncbi.nlm.nih.gov/pmc/articles/PMC1232869/

(Click in the image to enlarge it)
Thus, hydroxychloroquine in the management of COVID-19 infection is far from being just the interventions or studies of the professor’s team. Didier Raoult at IHU-Méditerranée in Marseille. In fact, in the recent American Journal of Medicine (AJM) of August 6, 2020, https://www.amjmed.com/article/S0002-9343(20)30673-2/fulltext (downloadable PDF) a therapeutic flowchart is taken up again, with hydroxychloroquine in good and proper place, combined with Azithromycin:

(Click in the image to enlarge it)
2- Zinc
Numerous studies, in vitro and in vivo, demonstrate the value of zinc as an antiviral in the broadest sense, and in the management of SARS-CoV-2 in particular. https://www.ncbi.nlm.nih.gov/pubmed/21079686 :
– Zn (2+) inhibits coronavirus and arterivirus RNA polymerase activity in vitro and zinc ionophores block the replication of these viruses in cell culture“. (Dutch study)
Note that a loss of smell and taste abnormality cited as characteristics of COVID-19 infection may be due to a deficiency of zinc, a trace element or trace that plays an important role in our immune defenses!
Signs suggestive of zinc deficiency :
- Agueusia or dysgeusia, taste disorder. Zinc is involved in the synthesis of gustin, a protein essential for the perception of taste in taste buds.
- An anosmia, loss of sense of smell.
These signs, according to some studies, would be the first signs of a coronavirus infection. It is therefore very likely that over-immune stimulation will lead to an increase in zinc deficiency, causing these symptoms in some subjects. https://www.ncbi.nlm.nih.gov/pubmed/25715353 & Hiroyuki YANAGISAWA, Zinc Deficiency and Clinical Practice JMAJ 47(8): 359-364, 2004
3- Vitamin D3
In the West, we are often deficient, listed here: https://www.ncbi.nlm.nih.gov/pmc/articles/PMC3024173/
– Even in the sunniest places, such as Saudi Arabia and Australia, 30-50 per cent of adults and children are vitamin D deficient or inadequate. »
Studies have shown that vitamin D supplementation can prevent acute respiratory tract infections.
Like this one in the British Medical Journal (BMJ) in 2017: https://www.bmj.com/content/356/bmj.i6583?ijkey=935824e1e99936eb88f0e5cdb5e9a0b60a405123&keytype2=tf_ipsecsha
In addition, a study has shown a correlation between the level of vitamin D in the body and the degree of severity of infection COVID-19 (original document available for order): https://fr.sott.net/article/35605-Le-niveau-de-vitamine-D-determine-la-gravite-dans-le-COVID-19-Les-chercheurs-irlandais-exhortent-leur-gouvernement-a-modifier-ses-conseils

(Click in the image to enlarge it)
4- Vitamin C
“Vitamin C deficiency is common in at-risk populations (single men, the elderly, homeless, psychiatric disorders, etc.) and is underestimated in the general population. »
Studies have suggested the beneficial role of vitamin C infusions in COVID pneumonia19 :
https://clinicaltrials.gov/ct2/show/NCT04264533
https://www.europereloaded.com/news-media-attacks-vitamin-c-treatment-of-covid-19-coronavirus-video/
https://www.pressenza.com/fr/2020/04/de-la-vitamine-c-hautement-dosee-pour-prevenir-et-traiter-le-covid-19/
As you can see, this is not a view of the mind, or the nonsense claimed by some iconoclasts, far from it. This has also been incorporated into certain American protocols:
https://www.evms.edu/covid-19/covid_care_for_clinicians/
https://www.evms.edu/directory/profiles/paul-e-marik.php
– Dr. Marik is currently Professor of Medicine and Chief of Pulmonary and Critical Care Medicine, Eastern Virginia Medical School in Norfolk, Virginia. Dr. Marik has written over 400 peer reviewed journal articles, 50 books chapters and authored four critical care books. »

Marik COVID-19 protocol – (Click in the image to enlarge it)
As you can see, Hydroxychloroquine + Azithromycin as early as possible (first day of onset of symptoms), Zinc, Vitamins C and D have their rightful place in the management of COVID-19 viral infection!
Place of Hydroxychloroquine and Azithromycin
- Early phase (first day of symptom onset)
- Prehospital (outpatient, general practitioners)
Control by primary care physicians, outpatient general practitioners, or emergency physicians.
Place of Zinc, vitamins D and C :
- Prehospital
- Hospital
- Intensive care (resuscitation)
Start by measuring the blood levels of these 3 elements. Then give some according to existing protocols. Unfortunately, today, in most intensive care units, at least in the West, the treatment, in addition to corticosteroid therapy, which has long been known to have beneficial effects on acute infiltrative interstitial lung disease, is limited to symptomatic management and prevention of thrombosis:
- Oxygen therapy
- Positive pressure ventilation
- Prone position
- Anticoagulation in curative doses
- Corticosteroids (dexamethasone, methylprednisolone…)
When will blood levels of zinc, vitamins C and D and the aggressive correction of their deficiencies be implemented?
It is inexpensive, non-hazardous and proven beneficial in viral infections, especially respiratory. https://www.who.int/elena/titles/bbc/vitamind_pneumonia_children/fr/
– Vitamin D deficiency is strongly associated with the risk of acute lower respiratory tract infections in a number of settings,” according to WHO!
COVID-19 for a resuscitator: a last word
Last word on the current situation: September-October 2020. First admission to intensive care on March 22nd, with a peak of patients in April (until April 22nd) with 22 COVID-19 patients (out of 39 beds). Strong decrease from May (22 May) with periods without COVID patients at all. The last patient admitted at the beginning of September 2020, despite the presence of serious risk factors (age, overweight, hypertension), made a more benign form without intubation and 8 days of hospitalization.
More severe cases have reappeared since 26 September, in very small numbers. There have been no deaths from COVID-19 since August 21, 2020. Although that is still too many, only 8 deaths since June 2, 2020.
This corresponds to the official graph produced by our health authority (Sciensano) in its weekly epidemiological bulletins.

Sciensano, screenshot – (Click in the image to enlarge it)
Conclusions
COVID-19 disease due to a viral infection (SARS-CoV-2- coronavirus family) in its severe form, requiring hospitalization or even admission to intensive care, is a diffuse infiltrative interstitial pneumopathy (PID) whose main manifestation is that of ARDS or Acute Respiratory Distress Syndrome. ARDS has been known since 1967 (first description), accounts for about 10% of resuscitation admissions and has a high mortality rate of about 40-50%. Like all PID, this pulmonary disorder responds favourably to corticosteroids, possibly at high doses, which has been known for years.
The immediate vital threat is related to severe hypoxemia which may require intensive oxygen therapy (inhaled air enriched with up to 100% O2), intubation and artificial ventilation under positive pressure, belly positioning and deep sedation (sleeping patient).
A peculiarity of post-COVID ARDS is that it leads to a high tendency to vascular thrombosis (obstruction of blood vessels). At the venous level, this leads to a high risk of pulmonary embolism (aggravating hypoxemia) and at the arterial level, this leads to a high risk of organic infarction, particularly renal or cerebral infarction (stroke). Anticoagulation in curative doses is necessary. This may be due to the presence of autoimmune antibodies.
In Belgium, as in other countries confined by order of the WHO, the management of COVID has led to a halt of all activities, both medical and surgical.
From a therapeutic standpoint, promising, and even proven useful avenues for the management of COVID-19 have been ignored:
In the early, prehospital stage, from the first day of onset of symptoms:
- Hydroxychloroquine (HCQ) 400mg/d for 5 days
- Azithromycin, macrolide antibiotic, in combination with HCQ: synergy
- Zinc: in combination with HCQ and Azithromycin
In the pre-hospital, hospital and intensive care stages:
- Zinc
- Vitamin D3
- Vitamin C, possibly at high dose by intravenous infusion (resuscitation)
An article in the Journal of Infectious Disease published in May 2020 shows that the use of ultraviolet radiation (UV like that emitted by the sun) by an artificial light source rapidly inactivates SARS-CoV-2 on surfaces.
https://academic.oup.com/jid/article/222/2/214/5841129
– The present study provides the first evidence that sunlight may rapidly inactivate SARS-CoV-2 on surfaces, suggesting that persistence, and subsequently exposure risk, may vary significantly between indoor and outdoor environments. Additionally, these data indicate that natural sunlight may be effective as a disinfectant for contaminated nonporous materials. »
This study shows that sunlight can quickly inactivate SARS-CoV-2 on surfaces… and these data indicate that natural sunlight can also be effective as a disinfectant…”
Could this not advantageously replace the chemical and toxic solutions that have been the exclusive preserve of official measures to date? There does not seem to be a second wave, or a few cases but without any common measure with the wave of March-April 2020, in terms of number of cases and/or severity.
In the light of this article with all its sources and scientific references, the non-use of hydroxychloroquine, azithromycin, zinc, vitamins D3 and C is incomprehensible and, if they persist in this denial, justifies all suspicions about the legitimacy of the official authorities.
Dr. Pascal Sacré
October 2020
Photo credit: Zeppelin, https://www.zeppelin-geo.com/galeries/france/covid19_rea74/panorama.htm
Sources / General References
HYDROXYCHLOROQUINE
- Studies: Overview of more than 50 international HCQ studies (C19Study.com)
- Study: Chloroquine is a potent inhibitor of SARS coronavirus infection and spread (Vincent et al., Virology Journal, 2005)
- Study: Chloroquine Is a Zinc Ionophore (Xue et al, PLOS One, 2014)
- Study: Physicians work out treatment guidelines for coronavirus (Korean Biomedical Review, February 2020)
- Study: Expert consensus on chloroquine phosphate for the treatment of novel coronavirus pneumonia (Guangdong Health Commission, February 2020)
- Study: Clinical Efficacy of Chloroquine derivatives in COVID-19 Infection: Comparative meta-analysis between the Big data and the real world (Million et al, NMNI, June 2020)
- Study: Treatment with Hydroxychloroquine, Azithromycin, and Combination in Patients Hospitalized with COVID-19 (Arshad et al, Int. Journal of Infect. Diseases, July 2020)
- Study: COVID-19 Outpatients – Early Risk-Stratified Treatment with Zinc Plus Low Dose Hydroxychloroquine and Azithromycin (Scholz et al., Preprints, July 2020)
- Protocol: Advisory on the use of HCQ as prophylaxis for SARS-CoV-2 infection (Indian Council of Medical Research, March 2020)
- Review: White Paper on Hydroxychloroquine (Dr. Simone Gold, AFD, July 2020)
- Article: The Key to Defeating COVID-19 Already Exists. We Need to Start Using It. (Professor Harvey A. Risch, Newsweek, July 2020)
- Article: Using Hydroxychloroquine and Other Drugs to Fight Pandemic (Yale School of Medicine)
- Article: Moroccan Scientist: Morocco’s Chloroquine Success Reveals European Failures (Morocco World News, June 2020) Zemmouri believes 78% of Europe’s coronavirus-related deaths could have been avoided if European states had mirrored Morocco’s chloroquine strategy.
- Article(IT): Covid: none of my patients are dead, and only 5% had to be hospitalized (Italia Oggi, June 2020) Dr. Cavanna treated the affected by the virus by intervening promptly and at home.
ZINC
Zinc deficiency:
- Study: Effect of Zinc Salts on Respiratory Syncytial Virus Replication (Suara & Crowe, AAFC, 2004)
- Study: Zinc Inhibits Coronavirus and Arterivirus RNA Polymerase Activity In fVitroand Zinc Ionophores Block the Replication of These Viruses in Cell Culture (Velthuis et al, PLOS Path, 2010)
- Study: Zinc for the common cold (Cochrane Systematic Review, 2013)
- Study: Hydroxychloroquine and azithromycin plus zinc vs. hydroxychloroquine and azithromycin alone: outcomes in hospitalized COVID-19 patients (Carlucci et al., MedRxiv, May 2020)
- Review : Does zinc supplementation enhance the clinical efficacy of chloroquine/ hydroxychloroquine to win today’s battle against COVID-19? (Derwand & Scholz, MH, 2020)
- Review: Zinc supplementation to improve treatment outcomes among children diagnosed with respiratory infections (WHO, Technical Report, 2011)
- Article: Can Zinc Lozenges Help with Coronavirus Infections? (McGill University, March 2020)
- The Role of Zinc in Viral Immunity. In this article published on April 22, 2019, in the international journal “Advances in Nutrition“, entitled “The Role of Zinc in Antiviral Immunity” (), it is stated that Zinc plays a critical role in human health. “The role of zinc as an antiviral can be separated into 2 categories: 1) zinc supplementation implemented to improve the antiviral response and systemic immunity in patients with zinc deficiency, and 2) zinc treatment performed to specifically inhibit viral replication or infection-related symptoms. ” The antiviral role of Zinc can be separated into 2 categories: 1) Zinc as prevention: Zinc supplementation implemented to improve the antiviral response and systemic immunity in patients with zinc deficiency, and 2) Zinc treatment performed to specifically inhibit viral replication or infection-related symptoms. »
- Proof that zinc is essential for immunity and deficiency: https://www.hug-ge.ch/sites/interhug/files/structures/coronavirus/documents/zinc_et_covid-19.pdf “In an infectious context, it seems desirable to correct a possible zinc deficiency, because of its many implications in physiological phenomena, especially the immune system. “https://www.ncbi.nlm.nih.gov/pubmed/19523191
-
- 2009 Jun 12 ;6 :9. Doi: 10.1186/1742-4933-6-9.
<The immune system and the impact of zinc during aging. The trace element zinc is essential for the immune system, and zinc deficiency affects multiple aspects of innate and adaptive immunity.
Many studies confirm a decline of zinc levels with age.
Even marginal zinc deprivation can affect immune function.
Consequently, oral zinc supplementation demonstrates the potential to improve immunity and efficiently downregulates chronic inflammatory responses in the elderly. These data indicate that a wide prevalence of marginal zinc deficiency in elderly people may contribute to immunosenescence.
https://www.ulb-ibc.be/oligo-elements/
Page 3/6 :
Overweight, metabolic syndrome, type 2 diabetes
Zinc
➢ Zinc and selenium deficiencies related to dietary habits (high caloric density foods low in micronutrients) and increased requirements related to oxidative stress and inflammation.
➢ If the zinc deficit is large and coverage is difficult, the use of oral forms of zinc is sometimes justified.
Geriatric population
Zinc
➢ Zinc deficiency more common among institutionalized people: insufficient food intake, frequent polymedication (IEC/ARA II). Associated with an increased incidence of infections, poor wound healing (bedsores) and immune system dysfunction.
12. LINKS WITH CORONAVIRUS:
Link Zinc and Coronavirus SARS-CoV-2 :
https://www.hug-ge.ch/sites/interhug/files/structures/coronavirus/documents/zinc_et_covid-19.pdf
An in vitro experiment indicates that when the limitations to intracellular penetration of Zn2+ were lifted, Zn2+ effectively inhibits, at doses equivalent to 2.0 μmol/L, viral RNA synthesis activity by the multiprotein replication and transcription complex of CoV-SARS, leading some authors to consider zinc as a treatment option in patients with CoV-SARS-2.
29. Velthuis AJW te, Worm SHE van den, Sims AC, Baric RS, Snijder EJ, Hemert MJ van. Zn2+ Inhibits Coronavirus and Arterivirus RNA Polymerase Activity In Vitro and Zinc Ionophores Block the Replication of These Viruses in Cell Culture. PLoS Pathogens [Internet]. Nov 2010 [cited 2010 Apr 16] ;6(11).
Available at: https://www.ncbi.nlm.nih.gov/pmc/articles/PMC2973827/
VITAMIN D:
- Vitamin D and the immune system :
https://www.who.int/elena/titles/bbc/vitamind_pneumonia_children/fr/
Vitamin D deficiency is strongly associated with the risk of acute lower respiratory tract infections in a number of settings.
- Vitamin D deficiency:
https://www.ncbi.nlm.nih.gov/pmc/articles/PMC3024173/
Mitigating epidemic vitamin D deficiency
https://www.revmed.ch/RMS/2011/RMS-319/Vitamine-D-actualite-et-recommandations
There has been an increase in prevalence, making vitamin D deficiency a frequent and under-diagnosed condition. Vitamin D is a kind of marker of good health and a marker of the evolution of our society.
Vitamin D deficiency is common and under-diagnosed. Globally, it is estimated that one billion people have vitamin D deficiency. In Western countries, more than 40% of the population over the age of 50 is estimated to be deficient. In Europe, a study has shown that 80% of older people have levels of 25(OH) D below 30 ng/ml.
3. Vitamin D and Coronavirus :
https://papers.ssrn.com/sol3/papers.cfm?abstract_id=3593258
Vitamin D Level of Mild and Severe Elderly Cases of COVID-19: A Preliminary Report
Basic healthy solutions such as Vitamin D supplementation could be raised even in the community level and awareness on Vitamin D benefits in fighting infections, such as COVID-19, should be disseminated especially to the vulnerable elderly population.
https://papers.ssrn.com/sol3/papers.cfm?abstract_id=3571484
Vitamin D Supplementation Could Possibly Improve Clinical Outcomes of Patients Infected with Coronavirus-2019 (COVID-19)
VITAMIN C:
- Vitamin C deficiency
https://www.em-consulte.com/en/article/260455#N103B1
Vitamin C deficiency is common in at-risk populations (single men, the elderly, homeless, psychiatric disorders, etc.) and underestimated in the general population.
2. Link between Vitamin C and SARS Coronavirus CoV-2
https://clinicaltrials.gov/ct2/show/NCT04264533
Vitamin C Infusion for the Treatment of Severe 2019-nCoV Infected Pneumonia.






